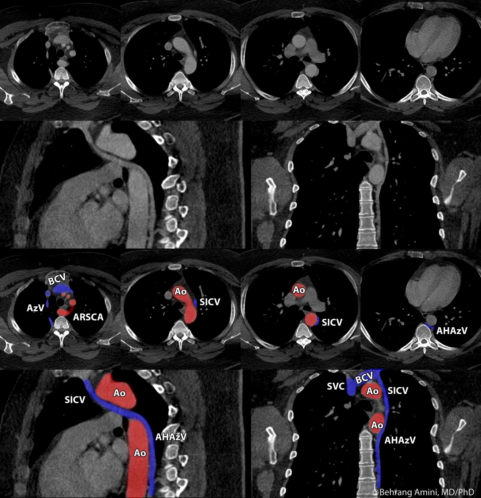
What Are Accessory Hemiazygos Vein . It is formed by the union of. Web the hemiazygos vein is the asymmetric counterpart to the azygos vein and forms part of the azygos venous. Web azygous vein (ventral view) the hemiazygos vein mirrors the lower part of the azygos vein, and receives the 9th to 11th posterior intercostal. Web the accessory hemiazygous vein is the venous confluence of the right posterior fourth to eighth intercostal veins. Web the accessory hemiazygos vein, or superior hemiazygos vein, courses through the posterior mediastinum, receiving a couple of tributaries along.
from anatomyzone.com
Web the accessory hemiazygos vein, or superior hemiazygos vein, courses through the posterior mediastinum, receiving a couple of tributaries along. Web the accessory hemiazygous vein is the venous confluence of the right posterior fourth to eighth intercostal veins. Web the hemiazygos vein is the asymmetric counterpart to the azygos vein and forms part of the azygos venous. Web azygous vein (ventral view) the hemiazygos vein mirrors the lower part of the azygos vein, and receives the 9th to 11th posterior intercostal. It is formed by the union of.
Azygos Vein AnatomyZone
What Are Accessory Hemiazygos Vein It is formed by the union of. It is formed by the union of. Web the accessory hemiazygos vein, or superior hemiazygos vein, courses through the posterior mediastinum, receiving a couple of tributaries along. Web azygous vein (ventral view) the hemiazygos vein mirrors the lower part of the azygos vein, and receives the 9th to 11th posterior intercostal. Web the hemiazygos vein is the asymmetric counterpart to the azygos vein and forms part of the azygos venous. Web the accessory hemiazygous vein is the venous confluence of the right posterior fourth to eighth intercostal veins.
From www.pinterest.com.mx
Note Hemiazygous and Accessory hemiazygous on "left" side and drains What Are Accessory Hemiazygos Vein Web azygous vein (ventral view) the hemiazygos vein mirrors the lower part of the azygos vein, and receives the 9th to 11th posterior intercostal. It is formed by the union of. Web the accessory hemiazygous vein is the venous confluence of the right posterior fourth to eighth intercostal veins. Web the hemiazygos vein is the asymmetric counterpart to the azygos. What Are Accessory Hemiazygos Vein.
From www.elsevier.com
Accessory Hemiazygos Vein Complete Anatomy What Are Accessory Hemiazygos Vein Web the accessory hemiazygos vein, or superior hemiazygos vein, courses through the posterior mediastinum, receiving a couple of tributaries along. Web the accessory hemiazygous vein is the venous confluence of the right posterior fourth to eighth intercostal veins. Web the hemiazygos vein is the asymmetric counterpart to the azygos vein and forms part of the azygos venous. Web azygous vein. What Are Accessory Hemiazygos Vein.
From pedicardiology-bala.blogspot.com
Pedi cardiology Systemic Veins in the thorax & Thoracic duct What Are Accessory Hemiazygos Vein Web azygous vein (ventral view) the hemiazygos vein mirrors the lower part of the azygos vein, and receives the 9th to 11th posterior intercostal. Web the hemiazygos vein is the asymmetric counterpart to the azygos vein and forms part of the azygos venous. Web the accessory hemiazygos vein, or superior hemiazygos vein, courses through the posterior mediastinum, receiving a couple. What Are Accessory Hemiazygos Vein.
From animalia-life.club
Azygos Vein What Are Accessory Hemiazygos Vein Web azygous vein (ventral view) the hemiazygos vein mirrors the lower part of the azygos vein, and receives the 9th to 11th posterior intercostal. Web the hemiazygos vein is the asymmetric counterpart to the azygos vein and forms part of the azygos venous. It is formed by the union of. Web the accessory hemiazygous vein is the venous confluence of. What Are Accessory Hemiazygos Vein.
From learningradiology.com
Learning Radiology Central, Venous, Catheter, Azygos, Vein What Are Accessory Hemiazygos Vein Web azygous vein (ventral view) the hemiazygos vein mirrors the lower part of the azygos vein, and receives the 9th to 11th posterior intercostal. It is formed by the union of. Web the accessory hemiazygous vein is the venous confluence of the right posterior fourth to eighth intercostal veins. Web the hemiazygos vein is the asymmetric counterpart to the azygos. What Are Accessory Hemiazygos Vein.
From simplemed.co.uk
1. Anatomy of the Respiratory System SimpleMed Learning Medicine What Are Accessory Hemiazygos Vein Web the hemiazygos vein is the asymmetric counterpart to the azygos vein and forms part of the azygos venous. Web the accessory hemiazygos vein, or superior hemiazygos vein, courses through the posterior mediastinum, receiving a couple of tributaries along. Web azygous vein (ventral view) the hemiazygos vein mirrors the lower part of the azygos vein, and receives the 9th to. What Are Accessory Hemiazygos Vein.
From www.elsevier.com
Accessory Hemiazygos Vein Complete Anatomy What Are Accessory Hemiazygos Vein Web the accessory hemiazygous vein is the venous confluence of the right posterior fourth to eighth intercostal veins. Web the hemiazygos vein is the asymmetric counterpart to the azygos vein and forms part of the azygos venous. Web azygous vein (ventral view) the hemiazygos vein mirrors the lower part of the azygos vein, and receives the 9th to 11th posterior. What Are Accessory Hemiazygos Vein.
From animalia-life.club
Azygos Vein What Are Accessory Hemiazygos Vein Web the accessory hemiazygous vein is the venous confluence of the right posterior fourth to eighth intercostal veins. Web azygous vein (ventral view) the hemiazygos vein mirrors the lower part of the azygos vein, and receives the 9th to 11th posterior intercostal. Web the accessory hemiazygos vein, or superior hemiazygos vein, courses through the posterior mediastinum, receiving a couple of. What Are Accessory Hemiazygos Vein.
From fity.club
Azygos Vein What Are Accessory Hemiazygos Vein Web azygous vein (ventral view) the hemiazygos vein mirrors the lower part of the azygos vein, and receives the 9th to 11th posterior intercostal. Web the accessory hemiazygos vein, or superior hemiazygos vein, courses through the posterior mediastinum, receiving a couple of tributaries along. It is formed by the union of. Web the accessory hemiazygous vein is the venous confluence. What Are Accessory Hemiazygos Vein.
From www.vrogue.co
Figure Azygos Vein And Hemiazygos Vein Statpearls Ncb vrogue.co What Are Accessory Hemiazygos Vein Web the accessory hemiazygous vein is the venous confluence of the right posterior fourth to eighth intercostal veins. Web azygous vein (ventral view) the hemiazygos vein mirrors the lower part of the azygos vein, and receives the 9th to 11th posterior intercostal. Web the hemiazygos vein is the asymmetric counterpart to the azygos vein and forms part of the azygos. What Are Accessory Hemiazygos Vein.
From anatomy.app
Hemiazygos and accessory hemiazygos veins Inferior mediastinum What Are Accessory Hemiazygos Vein Web the hemiazygos vein is the asymmetric counterpart to the azygos vein and forms part of the azygos venous. Web the accessory hemiazygous vein is the venous confluence of the right posterior fourth to eighth intercostal veins. It is formed by the union of. Web azygous vein (ventral view) the hemiazygos vein mirrors the lower part of the azygos vein,. What Are Accessory Hemiazygos Vein.
From human-anatomylessons.blogspot.com
Head and Neck Anatomy Veins in the neck What Are Accessory Hemiazygos Vein Web azygous vein (ventral view) the hemiazygos vein mirrors the lower part of the azygos vein, and receives the 9th to 11th posterior intercostal. Web the hemiazygos vein is the asymmetric counterpart to the azygos vein and forms part of the azygos venous. Web the accessory hemiazygous vein is the venous confluence of the right posterior fourth to eighth intercostal. What Are Accessory Hemiazygos Vein.
From www.pinterest.com
Superficial venous drainage of lungs Rightazygos vein Left accessory What Are Accessory Hemiazygos Vein Web azygous vein (ventral view) the hemiazygos vein mirrors the lower part of the azygos vein, and receives the 9th to 11th posterior intercostal. It is formed by the union of. Web the hemiazygos vein is the asymmetric counterpart to the azygos vein and forms part of the azygos venous. Web the accessory hemiazygous vein is the venous confluence of. What Are Accessory Hemiazygos Vein.
From www.earthslab.com
Easy Notes On 【Azygos and Hemiazygos Veins】Learn in Just 3 Mins! What Are Accessory Hemiazygos Vein It is formed by the union of. Web the accessory hemiazygous vein is the venous confluence of the right posterior fourth to eighth intercostal veins. Web the hemiazygos vein is the asymmetric counterpart to the azygos vein and forms part of the azygos venous. Web the accessory hemiazygos vein, or superior hemiazygos vein, courses through the posterior mediastinum, receiving a. What Are Accessory Hemiazygos Vein.
From www.slideserve.com
PPT Esophagus Dr. Nimir Dr. Safaa PowerPoint Presentation, free What Are Accessory Hemiazygos Vein Web the accessory hemiazygos vein, or superior hemiazygos vein, courses through the posterior mediastinum, receiving a couple of tributaries along. Web the accessory hemiazygous vein is the venous confluence of the right posterior fourth to eighth intercostal veins. It is formed by the union of. Web the hemiazygos vein is the asymmetric counterpart to the azygos vein and forms part. What Are Accessory Hemiazygos Vein.
From mavink.com
Azygos Vein Superior Vena Cava What Are Accessory Hemiazygos Vein Web azygous vein (ventral view) the hemiazygos vein mirrors the lower part of the azygos vein, and receives the 9th to 11th posterior intercostal. It is formed by the union of. Web the hemiazygos vein is the asymmetric counterpart to the azygos vein and forms part of the azygos venous. Web the accessory hemiazygous vein is the venous confluence of. What Are Accessory Hemiazygos Vein.
From healthiack.com
Pictures Of Azygos Vein What Are Accessory Hemiazygos Vein It is formed by the union of. Web the accessory hemiazygos vein, or superior hemiazygos vein, courses through the posterior mediastinum, receiving a couple of tributaries along. Web the accessory hemiazygous vein is the venous confluence of the right posterior fourth to eighth intercostal veins. Web azygous vein (ventral view) the hemiazygos vein mirrors the lower part of the azygos. What Are Accessory Hemiazygos Vein.
From roentgenrayreader.blogspot.com
Roentgen Ray Reader Drainage of the Accessory Hemiazygos Vein into the What Are Accessory Hemiazygos Vein Web the accessory hemiazygos vein, or superior hemiazygos vein, courses through the posterior mediastinum, receiving a couple of tributaries along. It is formed by the union of. Web the hemiazygos vein is the asymmetric counterpart to the azygos vein and forms part of the azygos venous. Web azygous vein (ventral view) the hemiazygos vein mirrors the lower part of the. What Are Accessory Hemiazygos Vein.